
1. 서론
다발성 경화증은 뇌와 척수를 포함한 중추신경계에 영향을 미치는 염증성 질환을 말한다. 이 질병은 신체의 면역 체계가 실수로 자신의 건강한 조직을 표적으로 삼아 공격하는 자가 면역 질환의 범주에 속한다. 이 특정 질병의 정확한 원인은 아직 알려지지 않았지만 신체 자체 구성 요소에 대한 항체가 발달하여 병리학적 상태로 이어지는 것이 특징이다. 그 결과 중추 신경계에 대한 손상은 시간이 지남에 따라 점진적으로 진행되어 다양한 기능에 영향을 미치고 심각한 건강 문제를 유발한다.
2. 특징
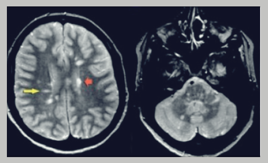
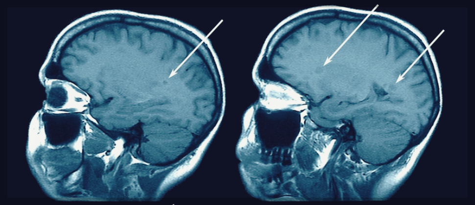
이 질병은 장기간에 걸쳐 뇌와 중추 신경계의 다른 구성 요소를 천천히 악화시키는 퇴행성 특성을 나타낸다. 안타깝게도 이 질병은 호전되어도 다시 재발하는 패턴을 자주 보여준다. 회복 단계로 보이는 동안에도 신경계의 미란, 특히 뇌와 척수의 신경 섬유 주변을 보호하는 미엘린(myelin)이 파괴된다. 이 과정의 영향을 받는 개인은 전반적인 건강과 기능에 좋지 않은 결과를 초래하기도 한다.
3. 특정 요인
이 질병은 주로 젊은 연령층의 개인에게 영향을 미치며 미국과 같은 서양인을 포함한 특정 인구 사이에서 발병률이 더 높다는 연구결과가 나왔다. 질병의 정확한 원인은 파악하기 어렵지만 유전적 소인과 환경적 요인이 복합적으로 작용하여 발생하는 것으로 밝혀졌다. 또한 현재 부모로부터 자녀에게 질병이 직접적으로 유전된다는 구체적인 증거는 없다.
4. 증상 및 영향
이 질병을 가진 개인이 경험하는 증상은 영향을 받는 중추 신경계의 특정 영역에 따라 다를 수 있다. 뇌에 침범되면 운동 마비, 언어 장애, 의식 장애, 인지 기능 장애와 같은 다양한 증상이 나타난다. 척수에 영향을 받는 경우 사지의 운동 마비, 감각 이상, 비뇨 및 대변 기능의 어려움을 경험할 수 있다. 그리고 시신경의 염증을 특징으로 하는 상태인 시신경염이 나타나 한쪽이나 양쪽 눈에 통증과 시각 장애를 일으키는 경우도 존재한다. 이경우는 심한 경우에는 부분적 혹은 완전한 실명을 초래할 수도 있다.
5. 재발 및 누적 손상
일반적으로 뇌와 척수를 포함한 중추 신경계의 여러 부분을 번갈아 침범하면 재발할 수도 있다. 이렇게 침범하면 기존 증상을 악화시키거나 새로운 증상의 유발을 야기시킨다. 이 주기적인 패턴은 신경계의 점진적인 손상 축적에 기여해 궁극적으로 시간이 지남에 따라 심각한 장애로 이어지게 된다. 질병의 재발 특성은 환자에게 중요한 문제이기에 지속적인 관리와 치료 방법이 필요할 것이다.
6. 치료
결정적인 치료법은 아직 발견되지 않았지만 증상을 관리하고 진행 속도를 늦추는 것을 목표로 하는 치료는 존재한다. 미국 식품의약국(FDA)은 세 가지 합성 베타-인터페론(Avonex, Betaseron 및 Copaxone)을 치료 방법으로 사용하도록 승인했다. 이 약물은 면역 반응을 조절하고 염증을 줄이며 잠재적으로 중추 신경계의 추가 손상을 지연시키는 방식으로 작용한다. 그러나 이러한 치료는 완전한 치유가 아니라 영향을 받은 개인의 증상을 완화하고 삶의 질을 향상하는 역할이라는 점을 알아둘 필요가 있을 것이다.
7. 세계 다발성 경화증의 날
다발성경화증 국제 협회와 각국의 다발성경화증 협회에서 2009년부터 매년 5월 마지막 주 수요일을 세계 다발성경화증의 날로 제정했다. 이 날은 다발성경화증을 앓고 있는 많은 환자들이 겪는 어려움에 대해 함께 공감하고 인식을 제고하여 일반인과 환자가 동등한 생활을 영위하고자 시작되었다.


8. 결론
중추 신경계에 영향을 미치는 다발성 경화증은 복잡하고 어려움이 따르는 질병이다. 염증성 특성과 지속되는 재발로 인해 개인의 건강과 웰빙의 상당히 부정적인 영향을 미치는 것이 사실이다. 구체적인 질병의 원인은 알려지지 않았지만 유전적 소인과 환경 요인이 질병의 원인으로 생각된다. 최적의 관리에는 증상을 완화하고 질병의 진행을 늦추기 위한 베타-인터페론 치료방법 등이 존재한다. 이 자가면역 질환은 지속적인 연구와 발전은 계속 이뤄져야 한다. 그렇게 해서 보다 효과적인 치료법을 개발되고 복잡한 신경학적 상태의 영향을 받는 힘들어하는 사람들의 삶이 개선되고 완전히 치유되는 날이 어서 빨리 왔으면 한다.
*다음 포스팅을 보시길 추천합니다.
구획 증후군 원인,증상 및 치료 방법
1. 서론 구획 증후군은 근육을 둘러싼 근막 내 압력이 증가하여 혈관과 신경이 압박되는 상태를 말한다. 구획 증후군 치료의 원인, 증상 및 해당 상태의 위험성에 대해 알아보는 시간을 가져보겠
ordinarypersons.tistory.com
'건강 이야기' 카테고리의 다른 글
| 통풍의 원인,증상,치료 및 관리 (22) | 2023.05.30 |
|---|---|
| 프로테오글리칸 : 조직 건강의 중요성 (19) | 2023.05.30 |
| 구획 증후군 원인,증상 및 치료 방법 (19) | 2023.05.29 |
| 열경기(열성 경련) : 이해,원인,증상 및 관리 (20) | 2023.05.23 |
| 모로실 : 천연 항산화제가 담긴 시칠리아 블러드 오렌지 (14) | 2023.05.23 |