
제로네이트 소개
제로네이트는 치아의 앞면을 0.1mm만 얇게 갈아낸 다음 세라믹으로 만든 인공 치아를 부착하는 치과 시술이다. 주로 변색이나 부서진 치아, 기형이 있는 치아의 외관을 개선하기 위해 사용한다. 라미나네이트를 단점을 보완하여 개발되었기에 요즘 많은 사라들이 제로네이트에 관심을 가지고 있다.
시술 과정
우선 치아의 최소한만 깎아내기에 정밀한 측정이 우선된다.
①치아의 앞면의 얇게 갈아낸다.
②삭제한 치아의 본을 뜬다.
③본을 뜬 치아의 모양과 색상을 고려해 3D 프린터를 사용하여 가공물을 제작한다.
④제작한 가공물을 치아에 부착시킨다.
장점
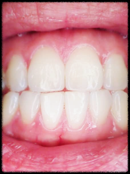
제로네이트는 1시간 내외로 빠른 시술이 가능해 치과를 몇 번 방문하지 않아도 된다. 그리고 치아를 갈아내는 과정이 극소량이기에 통증이 거의 없어서 따로 마취가 필요하지 않은 편이다. 또한, 치아의 모양과 색상을 자연 치아와 거의 흡사하게 제작할 수 있기에 심미적으로도 우수해 만족도가 상당히 높은 편이다.
마지막으로 라미네이트보다도 수명까지 길다고 하니 라미네이트보다 선진화된 기술이라 볼 수 있겠다.
단점
아무리 최소한으로 갈아낸다고 해도 혹여나 치아 건강에 영향을 미칠 수는 있다. 그리고 세라믹으로 만든 인공 치아이기 때문에 시간이 지나거나 관리가 소홀하면 변색되거나 손상되기도 한다. 또한, 관리를 위해서 주기적으로 치과를 방문해서 유지 보수를 해야 하기에 비용적인 측면에서도 단점이 될 수 있다.
물론, 이 모든 단점은 라미네이트와 비교했을 시에는 단점 또한 최소화했다고 생각하면 편할 것이다.
시술이 필요한 치아
제로네이트는 치아가 변색이 심해서 심미적으로 좋지 않은 치아와 모양 자체가 불규칙해서 예쁘지 않은 경우에 시술을 추천한다. 또한, 선천적으로 치아의 크기가 작은 경우와 그 사이로 벌어진 틈이 꽤 있는 경우에 제로네이트 시술을 하면 큰 효과와 만족감을 느낄 수 있을 것이다.
영상
다음 영상은 제로네이트에 대한 궁금증을 풀어주는 영상이다. 라미네이트를 하길 고민하고 계신 분이나 제로네이트에 대해 궁금한 것이 있는 분들에게 추천해 준다.


마무리
제로네이트는 치과마다 상이하겠지만 일반적으로 치아 하나당 50만 원에서 100만 원 사이정도가 된다. 치과 시술도 시간이 지날수록 발전을 거듭해가고 있기에 이왕 래미네이트를 생각하고 있는 사람이 있다면 제로네이트를 시술받아보길 바란다.
치아를 거의 삭제하지 않아 시림 등의 부작용도 거의 없고 자연치아와 유사하게 만들며 변색도 거의 없기 때문에 비용적인 측면에서 조금 더 부담이 되어도 충분히 보상받고도 남는다는 생각이 든다.

*다음 포스팅을 보시길 추천합니다.
블랙 필름 : 라미네이트의 새로운 혁명
블랙필름은 치아를 갈지 않고 붙이는 라미네이트를 말한다. 치아의 모양, 색상, 크기를 개선하는 데 사용되는 보철물인 것이다. 블랙필름은 세라믹 재질로 만들어지며, 치아와 자연스럽게 아우
ordinarypersons.tistory.com
이 포스팅은 쿠팡 파트너스 활동의 일환으로, 이에 따른 일정액의 수수료를 제공받습니다.
'자유 이야기' 카테고리의 다른 글
| 아와모리 소주 : 흑누룩을 발효시키고 증류한 일본 오키나와 전통주 (29) | 2023.11.20 |
|---|---|
| TF 능력고사 : MBTI에서 T와 F만을 중점적으로 다루는 테스트 (33) | 2023.11.16 |
| 폴스타 4 : 볼보 산하의 전기차 브랜드 폴스타의 중형급 SAC 전기차 (27) | 2023.11.15 |
| 셀프스토리지 : 창고와 같은 저장 공간을 임대해 물건을 보관하고 관리해주는 서비스 (43) | 2023.11.13 |
| 정부24를 통해서 간단하게 생활기록부 조회하고 발급받기 (38) | 2023.11.13 |